2024/03/10 22:05
【3/15〜3/16限定】 10%OFFクーポンをプレゼント!3月15日(金)21:00よりクーポンをお使いいただけます。ぜひこの機会にお買い物をお楽しみください〜!クーポンコード:base24springご利用方法:購入画面でクー...
2023/07/01 15:46
クーポンコードM84UJRSQ2023年7月1日から2023年7月30日0時まで使用できる限定枚数20枚のクーポン。モンダミンハビットプロ1080mlと380mlにお使いいただける100円offクーポンです。発行枚数は20枚。最低購入金額は...
2023/06/23 17:23
【6/23〜25限定】 お得な最大10%OFFクーポンをプレゼント♪商品購入画面でクーポンコード「base200shops」を入力してください。新作やセールアイテムにもご利用いただけます!
2023/06/15 07:19
ご家族の介護が忙しいとき、つい後回しになってしまうのが自分の口の中。。そんな患者さんの声を聞くことがしばしばあります。しかし、忙しい日常で歯磨きがつい二の次になる....そんな状況は誰しもあるのではな...
2023/05/28 15:16
前回に引き続き、今回は「入れ歯のお手入れはどのようにするのか?」がテーマです。具体的には、義歯の洗浄器具の揃え方、入れ歯の洗い方の2つについて解説しますね。 前回のブログ - 時には命をも左右する...
2023/05/19 21:18
義歯を装着したことがない方が、義歯の清掃をする機会が生じることがあります。ご家族の中で義歯を装着された方が、突然入院が必要になる場合や介護が必要になる場合など。様々な理由で自分自身でお口の中を管...
2023/05/19 21:18
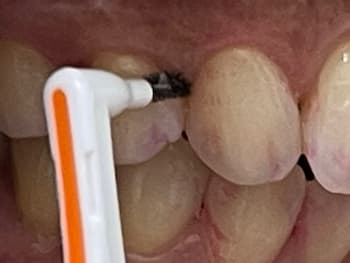
皆さんは歯と歯のあいだを磨いていますか?歯と歯の間のセルフケアを歯間ケアと表現します。虫歯、特に歯周病の初発は歯と歯の間から起こります。(虫歯の初発は例外もあります)歯と歯の間をしっかりケア...
2023/05/17 07:23
歯間ブラシは、さまざまなものが販売されています。好みで選び日々使っておられる方も少なくないでしょう。しかし、これまでの臨床経験から、歯間ブラシの使いやすさとコストには"推奨したい考え方"があります...
2023/05/17 07:22
歯ブラシ「クラプロックスCS5460」。値段は高いと思うかもしれませんが、特長をふまえ実際に使用してみると、良い歯ブラシであることがわかります。多くの歯ブラシは、デザインはいいが機能が伴わないもの...
2023/05/15 20:34
日本では「3人に1人」しか使っていない洗口液当院では主に酸化電位水で診療前や術後、また普段のお口の洗浄に患者さんに使用していただきます。日本では32%、アメリカでは63%の人が洗口液を使用しているそうで...
2021/07/09 22:01
商品によって様々な配送方法をご用意していますので、ご購入前にご確認下さい。・スマートレター(全国一律180円) 荷物の追跡機能なし。お荷物は郵便受けに投函されます。日付け時間指定はできず、お荷物の補償...







